Bir adamın pişmemiş domuz pastırmasına olan sevgisi beyinde bulunan tenyalarla bağlantılıdır
Domuz pastırması sevenler, dikkatli olun: Amerika Birleşik Devletleri'nde yakın zamanda meydana gelen bir tıbbi vaka, az pişmiş domuz pastırması yemekle beyinde tenya larva kistlerinin varlığı arasında olası bir bağlantıyı ortaya çıkardı.
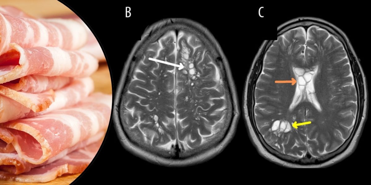
52 yaşındaki adam, ilaca yanıt vermeyen şiddetli migren ağrıları için tıbbi yardım istedi. Bilgisayarlı tomografi taraması yaparken doktorlar şok edici bir keşifte bulundu: beyninde sistiserkoz olarak bilinen bir duruma yol açabilen çok sayıda tenya larvası kisti vardı.
İlginç bir gelişme mi? Adamın az pişmiş, pek de çıtır olmayan domuz pastırmasını yeme konusunda uzun süredir devam eden bir alışkanlığı vardı. Doktorlar bu yeme alışkanlığının rol oynayabileceğini öne sürerken, aynı zamanda bu tür enfeksiyonları önlemek için ellerin doğru yıkanmasının önemini de vurguladılar.
Makale bu reklamdan sonra devam ediyor
reklamcılık

American Journal of Case Reports'ta yayınlanan rapor, az pişmiş domuz pastırması tüketimiyle ilişkili potansiyel sağlık risklerinin altını çiziyor. Tenyaların pastırmadan mı yoksa yetersiz el hijyeninden mi kaynaklandığı hala belirsiz olsa da, tavsiyemiz pastırmanızın çıtır olduğundan emin olmanız ve iyi bir önlem olarak ellerinizi iyi yıkamanızdır.
Bu nedenle, bir dahaki sefere domuz pastırması ihtiyacınız olduğunda şunu unutmayın: Çıtır çıtır önemlidir ve temizliği tartışılmaz!

